肾动脉超声造影 — 探寻高血压病的“蛛丝马迹” -j9九游会

肾动脉超声造影 — 探寻高血压病的“蛛丝马迹”
2021-12-30 19:26:00 来源:中国老年医学学会

患者王先生高血压十余年,长期服用降压药,近日血压控制不佳。医院就诊做了常规超声检查,可疑王先生肾动脉狭窄,随后进一步进行了超声造影检查,明确诊断为肾动脉狭窄。那么,王先生患的高血压怎么和肾脏有关系?对肾脏还会有其他影响吗?需要做什么检查来诊断呢?

一、肾脏与血压有着非常密切的关系:

肾性高血压是继发性高血压中最常见的一种,在老年人、糖尿病、冠心病、高血脂和吸烟患者中,肾动脉粥样硬化引起肾动脉狭窄发生率很高。肾动脉狭窄可引起高血压(新出现的高血压,或原来的高血压药物控制不佳)、蛋白尿、肾功能减退甚至肾功能衰竭。早期多数患者症状不明显,而此时如果得以明确诊断,及时调整个体化治疗方案,对患者病情发展及预后非常重要。

    二、如何早期发现肾动脉狭窄?

肾动脉狭窄的诊断方法很多,主要分为无创检查和有创检查。无创检查主要包括超声ct血管造影和磁共振血管成像等;有创检查主要指放射线下肾动脉血管造影,也是目前诊断肾动脉狭窄的“金标准”。

彩超检查便捷无创、无放射性辐射,往往是首选的检查方法,而进一步应用超声造影这种近年广泛而迅速发展起来的新技术,使肾动脉狭窄的诊断可到达接近“金标准”的水平。

肾动脉超声造影是经前臂肘静脉注入超声造影剂(如声诺维,注射用六氟化硫微泡),对肾动脉全程进行增强的超声实时动态观察,大大提高了超声对肾动脉狭窄的诊断准确性及肾动脉先天变异的检出率。此种造影剂安全性高,用量小,仅约1ml/肾,没有肝肾毒性,注射后十几分钟即可随呼吸大部分代谢排出体外。特别适用于肾功能不全不宜接受碘剂检查或对碘剂过敏而无法进行肾动脉ct血管造影检查的患者。

目前肾动脉超声造影主要用于对可疑肾动脉狭窄的高血压患者和肾功能不全的老年患者进行检查,大大提高了肾动脉狭窄,尤其是轻中度肾动脉狭窄的检出率,为临床早期药物治疗或手术干预提供诊疗依据,从而有助于控制血压,降低不良心血管事件和终末期肾病的发生率。

中国老年医学学会超声医学分会会长郭发金教授、总干事任俊红教授、副总干事马娜带领所在北京医院(国家老年医学中心)超声医学科团队于20179月开设了国内首家肾动脉超声造影专科检查门诊,与多个临床科室紧密合作,目前检查病例数已达1100余例,得到了临床医师和患者的认可,同时该技术还获得多项课题基金支持,并赢得同行专家的关注与肯定新近由任俊红教授领衔执笔,经国内多位知名专家多次讨论及修改后发布了《肾动脉超声造影检查方法及流程中国专家共识(2021版)》,针对肾动脉超声造影检查方法及流程的规范化提出了推荐性意见。

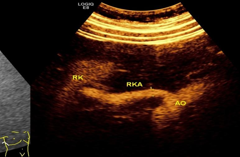
1    超声造影:显示正常右侧肾动脉全程

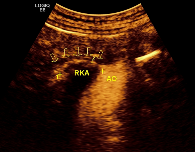
2   超声造影:显示右侧肾动脉弥漫性重度狭窄

作者:

           北京医院超声医学科:    孙由静   马娜   任俊红

(文章内容仅代表作者观点。文中部分图片源自网络,如有侵权,请联系删除)


网站地图